
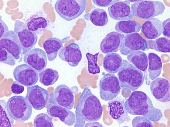
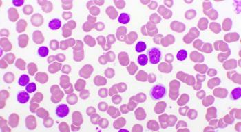
Leukemia
Latest News

Latest Videos

More News

In honor of National Family Caregiver’s Month, CURE® highlights some of the most important news in 2023.

An expert provided an overview of the promising therapies that are being investigated for the treatment of patients with chronic lymphocytic leukemia.

One doctor tells CURE why the FDA’s approval of the TKI Bosulif to treat children with chronic myelogenous leukemia “is really important.”

The FDA approved Bosulif for children aged 1 and older with newly diagnosed or resistant/intolerant chronic myelogenous leukemia.

After a stem cell donor saved the life of a patient with a rare leukemia, the two finally had a “very emotional” meeting this past spring in New York.

Patients with acute myeloid leukemia who took vitamin C and D supplements experienced fewer complications, but no overall survival benefits.

Iclusig plust reduced-intensity bested Gleevec when it came to MRD-negative complete remission in patients with Philadelphia chromosome-positive acute lymphoblastic leukemia.

Elderly patients with acute myeloid leukemia did not experience a difference in relapse-free survival or non-relapse mortality with intensive versus non-intensive chemotherapy.

Survival outcomes and disparities for patients with blood cancers may depend on factors including insurance coverage, economic status and marital status.

Varying outcomes among adolescent and young adult patients with Philadelphia chromosome-negative acute lymphoblastic leukemia treated with pediatric-inspired protocols or adult chemotherapy regimens warrant further study.

"I’m on a healthy footing, and that’s pretty miraculous," said singer-songwriter Andrew McMahon, an acute lymphoblastic leukemia survivor and founder of the Dear Jack Foundation.

MRD testing began among patients with chronic myeloid leukemia, a disease that lends itself to gauging MRD because it is driven by a specific genetic mutation.

Why minimal residual disease testing is the "gold standard" for some patients and providers.

Here’s a look back at blood cancer approvals from the summer of 2023.

As part of its Speaking Out video series, CURE spoke with Dr. Lee Greenberger, chief scientific officer of the Leukemia & Lymphoma Society, about the current research in treatments.

As part of its Speaking Out video series, CURE spoke with Dr. Lee Greenberger, chief scientific officer of the Leukemia & Lymphoma Society, who discussed recent treatment advancements and FDA approvals.

As part of its Speaking Out video series, CURE spoke with Nikki Yuill, oncology social worker and director of the Leukemia & Lymphoma Society’s Information Resource Center, about some of the challenges faced by patients.

As part of its Speaking Out video series, CURE spoke with Nikki Yuill, oncology social worker and director of the Leukemia & Lymphoma Society’s Information Resource Center, about some of the challenges faced by patients.

I had acute myeloid leukemia in 2016 and tackled it with chemo. I had a recurrence in 2020 and tackled it with chemo and a bone marrow transplant.


As wide receiver John Metchie returns to the field after cancer experience, and coach Brent Venables announces wife’s cancer diagnosis, this is what’s happening in the oncology space this week.

As Ben Alldis reveals previous cancer diagnosis and Luke Combs brings a Make-a-Wish cancer survivor on stage during a concert venue, this is what’s occurring in the oncology space this week.

The Food and Drug Administration approved a Vanflyta regimen for patients with FLT-ITD—positive acute myeloid leukemia.

A recent study has determined that Xospata plus chemo is safe for the treatment of relapsed/refractory acute myeloid leukemia with an FLT3 mutation.

Singer-songwriter Andrew McMahon is not the same person he was before his leukemia diagnosis, and that’s OK, he said.