
CURE® recently covered the 2023 American Society of Hematology Annual Meeting. In case you missed it, here is some news that came out of the conference that patients should know about.

A nationally-published, award-winning journalist, Alex Biese joined the CURE team as an assistant managing editor in April 2023. Prior to that, Alex's work was published in outlets including the Chicago Sun-Times, MTV.com, USA TODAY and the Press of Atlantic City. Alex is a member of NLGJA: The Association of LGBTQ+ Journalists, and also performs at the Jersey Shore with the acoustic jam band Somewhat Relative.

CURE® recently covered the 2023 American Society of Hematology Annual Meeting. In case you missed it, here is some news that came out of the conference that patients should know about.

Recently approved by the FDA for chronic lymphocytic leukemia (CLL) or small lymphocytic lymphoma (SLL), Jaypirca “represents a meaningful advance” in treatment, as one expert explained.

CURE® recently covered the San Antonio Breast Cancer Symposium. In case you missed it, here is some news that came out of the conference that patients should know about.

Preliminary study results examining the bispecific antibody, CDK4/6 inhibitor and hormone therapy combination in patients with advanced breast cancer were presented at SABCS.

Adding one cup of navy beans per day to patients’ diets increased beneficial bacteria in the digestive system with no side effects, according to recent study findings.

A new study aims to answer questions regarding end-of-life care for patients with stage 4 cancers and their caregivers.

From FDA concerns to a potential new drug, CAR-T cell therapies were dominating oncology headlines last week.

Cervical cancer survival and Cervivor ambassador Kate Weissman provides advice on conversations patients with cervical cancer should be having with their care teams.

Analysis of molecular subtypes of muscle-invasive bladder cancer can predict if a tumor is likely to respond to chemotherapy before surgery but is not associated with differences in survival.

Cervical cancer survivor Kate Weissman talks recent research on follow-up visits for patients after fertility-sparing surgery, and explains why it’s ‘something that the cervical cancer community is owed.’

Following promising study results, a Biologics License Application has been filed with the FDA for obe-cel (obecabtagene autoleucel), a CAR-T cell therapy for patients with relapsed/refractory (r/r) adult B-cell acute lymphoblastic leukemia (ALL).

Patients and their families facing financial burdens "don't have to try to carry the load all alone," as one ACCC Guidelines Task Force member tells CURE®.

A recent study found that healthy tissue near the sites of lung tumors may contain genetic information that could serve as a predictor of possible cancer recurrence.

Dr. Nabil Rizk, chief of thoracic surgery at Hackensack University Medical Center, explains that segmentectomy is “just a little bit more of a refined way of treating cancers.”

Diane Messick, a three-time lung cancer survivor, tells CURE® about her cancer journey which has included a segmentectomy, a lobectomy and radiation treatment since receiving her first diagnosis in 2017.

As part of its Speaking Out® video series, CURE® spoke Dr. Gene G. Finley of Drexel University of College of Medicine and AHN Cancer Institute, Allegheny Clinic Medical Oncology, about education disparities among patients with lung cancer.

As part of its Speaking Out® video series, CURE® spoke Dr. Gene G. Finley of Drexel University of College of Medicine and AHN Cancer Institute, Allegheny Clinic Medical Oncology, about advancements in treating non-small cell lung cancer and the unmet needs that persist for patients.

As part of its Speaking Out® video series, CURE® spoke with Dusty Joy Donaldson of LiveLung/The Dusty Joy Foundation and Lung Cancer Action Network about her lung cancer journey and the importance of scans.

As part of its Speaking Out® video series, CURE® spoke with Kimberly Buchmeier, a lung cancer survivor and board member of LiveLung.

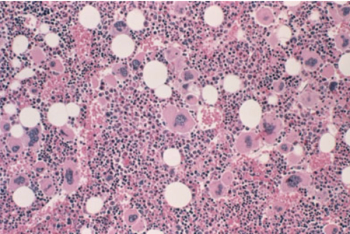
Findings of MANIFEST-2 show “valuable evidence that the addition of pelabresib offers meaningful improvements over JAK inhibitor monotherapy as a first-line approach for patients with myelofibrosis,” according to one expert.

Last week brought three more FDA approvals in the oncology space, as well as some research in neuropathy prevention and the diabetes-cancer connection.

Immune checkpoint inhibitors and stereotactic radiosurgery do not increase the risk of necrosis among patients with NSCLC who have brain metastases, according to research.

Truqap (capivasertib) with fulvestrant has been approved for the treatment of adults with HR-positive, HER2-negative locally advanced or metastatic breast cancer with one or more PIK3CA/AKT1/PTEN-alterations, the FDA announced.

A decade after becoming a bone marrow donor following his brother’s diagnosis of myelofibrosis, former “Queer Eye for the Straight Guy” co-star Thom Filicia is one of the partners behind the Mapping Myelofibrosis initiative.

Patients with colorectal cancer who had diabetes with complications had an 85% higher risk of death than those without diabetes, according to the findings of a study.

Last week’s oncology headlines focused on veterans with cancer, as well as FDA regulatory decisions and an expert’s opinion on what patients need to consider when choosing a Medicare plan.

Researchers found that some caregivers face racism and discrimination as they care for loved ones with cancer.

Up to a quarter of patients with breast cancer face financial burden due to the cost of supplements, complimentary therapy and alternative medicines which “may decrease adherence to prescribed medications,” researchers found.

U.S. Army Reserve Veteran and stage 3 colon cancer survivor discussed the significance of the 2022 passage of the PACT Act and what it means for veterans facing cancer.

Patients with metastatic colorectal cancer are eligible for treatment with Fruzaqla, an oral targeted therapy, following treatment via fluoropyrimidine-, oxaliplatin- and irinotecan-based chemotherapy as well as an anti-VEGF therapy, and, if their disease RAS wild-type and medically appropriate, an anti-EGFR therapy.